How Many Dental Implants Are Needed For A Full Mouth Dental Implant Procedure? 

Full mouth dental implants in McKinney, TX, are an effective and permanent solution to replace a full arch of missing teeth with. The dental implants used in a full mouth dental implant procedure restore the look and function of the patient’s smile. Unlike traditional dentures, full mouth dental implants give patients a stable and comfortable new smile. Continue reading to learn about how many dental implants are needed for a full mouth dental implant procedure.

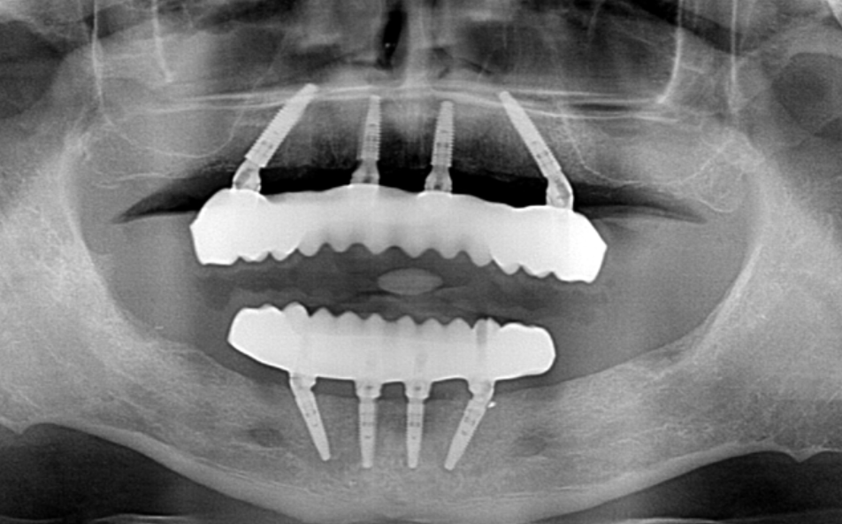
The Amount Of Dental Implants Needed For Full Mouth Dental Implants In McKinney, TX

With full mouth dental implants, all the teeth in the patient’s upper and/or lower jaw are replaced with typically four or more dental implants. The specific number of dental implants the patient will need will depend on the condition of their jawbone and what the doctor thinks they will need.

If the patient does not have enough jawbone density to support the dental implants needed for a full mouth dental implant procedure, then a bone grafting procedure can be used to restore their jawbone. The dental implant posts are made to act like natural tooth roots. When they are placed in the patient’s jawbone, they stimulate it so that it is strong and healthy enough to support their new smile.

The dental implant posts also become a permanent part of the patient’s new smile after it has fused with their jawbone. When full mouth dental implants are strategically and accurately placed in a patient’s jawbone, it gives them a beautiful and functional new smile for years to come.

What Exactly Does A Full Mouth Dental Implant Procedure Look Like?

The full mouth implant procedure process begins with an evaluation of the patient’s oral structures and dental history, so they get the personalized new smile they need and deserve. Once the patient’s full mouth dental implant procedure is planned out, the determined number of dental implant posts can be surgically placed in their jawbone.

Most patients will be able to get a temporary prosthesis placed, right after their full mouth dental implant surgery, giving them a new smile in one day. Once their mouth has fully healed, and the customized final prosthesis is made, this final prosthesis can be attached to the dental implant’s so patients get the improved new smile they need.

See Us Now For Your Full Mouth Dental Implants In McKinney, TX

With proper care and maintenance, full mouth dental implants can last for decades. Because of their secure fit and lifelike appearance, full mouth dental implants are a trusted full arch tooth replacement option.

Don’t wait to come to our office so we can determine the number of dental implants you’ll need for your full mouth dental implant procedure. Get in contact with our doctors, Dr. Haroon and our exceptional team at our office to schedule an appointment today!

Take advantage of our excellent dental care options!